Punca Mengandung Luar Rahim / Laporan wartawan grid.id, devi agustiana.

Punca Mengandung Luar Rahim / Laporan wartawan grid.id, devi agustiana.. Di samping itu, terdapat beberapa syarat yang mungkin menjadi punca kehamilan ektopik. Ia boleh disebabkan pengambilan daripada luar ataupun ia meningkat dengan sendirinya daripada dalam badan disebabkan masalah tertentu. Tiub fallopio tidak dapat menampung fetus disebabkan pangkal rahim menjadi lebih lembut dan lebih sensitif ketika mengandung, ia lebih mudah mengalami sedikit. Sistem reproduksi wanita juga memiliki beragam fungsi. Penyanyi hazama dan isterinya, genervie kam mengakui berasa sedih sebaik menerima khabar hasrat untuk menimang cahaya mata sulung tidak kesampaian kerana genervie mengandung di luar rahim dan terpaksa menjalani pembedahan.

Bahasa inggerisnya ialah ectopic pregnancy. Such as png, jpg, animated gifs, pic art, logo. Apa penyebab kehamilan di luar rahim dan penanganan apa yang tepat? Pengalaman mengandung luar rahim adalah kehamilan terjadi akibat gumpalan darah atau janin membesar di luar tempat yang sepatutnya. Penggunaan alat perancang kehamilan dalam rahim ( intrauterine contraceptive device ).

A Wahmpire S Diary 3 Tanda Tanda Kandungan Luar Rahim
A Wahmpire S Diary 3 Tanda Tanda Kandungan Luar Rahim from 1.bp.blogspot.com
Operasi ini dilakukan untuk menghapus rahim secara permanen dan diperlukan prosedur penting sebelum dilakukan tindakan. Punca pendarahan yang lebih jarang berlaku ialah kehamilan molar. Semasa anda mengalami haid, rahim anda berkontrak untuk membantu mengusir lapisannya. Such as png, jpg, animated gifs, pic art, logo. Punca pendarahan pada trimester pertama. Sebaliknya embryo ini akan melekat dan membesar pada permukaan lain seperti tiub fallopian, serviks, ovari bahkan dalam perut wanita itu sendiri! Mengandung luar rahim juga dikenali sebagai mengandung anggur. Sel punca akan diambil dari kehamilan yang gugur.

Sebaliknya embryo ini akan melekat dan membesar pada permukaan lain seperti tiub fallopian, serviks, ovari bahkan dalam perut wanita itu sendiri!

Dalam kes mengandung luar rahim atau kehamilan ektopik, embryo ini tidak melekat pada permukaan dinding endometrium. Semasa anda mengalami haid, rahim anda berkontrak untuk membantu mengusir lapisannya. Ketumbuhan pada dinding rahim atau fibroid. Kak, sshhh… jangan dulu donk. Apa yang lebih menakutkan lagi ialah tumbuhan kanser rahim atau pangkal rahim. Laporan wartawan grid.id, devi agustiana. Di samping itu, terdapat beberapa syarat yang mungkin menjadi punca kehamilan ektopik. Pengalaman mengandung luar rahim adalah kehamilan terjadi akibat gumpalan darah atau janin membesar di luar tempat yang sepatutnya. Adanya infeksi di daerah sekitar panggul. Kehamilan di luar rahim iaitu biasanya berlaku di bahagian salur fallapio. Antara kaedah utama bagaimana untuk selamat ketika bahkan di malaysia ini sudah ramai ibu mengandung di luar rahim yang dapat diselamatkan ibu dan bayi. Assalamualaikum warahmatullah, saya teringat semasa saya masih belajar di fakulti perubatan beberapa tahun lalu, ketika itu saya di dalam sesi klinikal pembedahan di hospital tengku ampuan afzan, kuantan. Ectopic pregnancy) terjadi apabila hasil persenyawaan, atau zigot, tertanam di kawasan luar rahim seperti di tiub fallopio, ovari ataupun di dalam ruang abdomen.

Sel punca akan diambil dari kehamilan yang gugur. Kak, sshhh… jangan dulu donk. Kandungan luar rahim atau kehamilan ektopia (bahasa inggeris: Bahasa inggerisnya ialah ectopic pregnancy. Penggunaan alat perancang kehamilan dalam rahim ( intrauterine contraceptive device ).

Hamil Luar Rahim Boleh Akibatkan Pendarahan Banyak Doktor Ingatkan Scan Minggu 6 8 Pastikan Kedudukan Kandungan Pa Ma
Hamil Luar Rahim Boleh Akibatkan Pendarahan Banyak Doktor Ingatkan Scan Minggu 6 8 Pastikan Kedudukan Kandungan Pa Ma from cdn.majalahpama.my
Antara kaedah utama bagaimana untuk selamat ketika bahkan di malaysia ini sudah ramai ibu mengandung di luar rahim yang dapat diselamatkan ibu dan bayi. Mengandung luar rahim juga dikenali sebagai mengandung anggur. Jika rahim mengalami sebuah penyakit atau terkait dengan masalah kesehatan tertentu maka operasi pengangkatan rahim bisa dipertimbangkan. Penyakit tulang rapuh, disebut osteogenesis imperfecta, terjadi pada sekitar satu dari setiap lima belas bayi akan menerima suntikan itu di dalam rahim dan setelah mereka dilahirkan. Malangnya, ia terjadi di luar rahim, biasanya di dalam tiub fallopio. Kak, sshhh… jangan dulu donk. Lima belas lagi hanya akan mendapatkan perawatan setelah. Sebaliknya embryo ini akan melekat dan membesar pada permukaan lain seperti tiub fallopian, serviks, ovari bahkan dalam perut wanita itu sendiri!

Hazama bimbing isteri cara berhikmah.

Hampir selalu didiagnosa sebagai kandungan turun dan diatasi dengan pengurutan untuk menaikkan rahim, benarkah hal ini ? Kandungan luar rahim punca tanda. Jadi, sebenarnya apa yang mengandung di luar rahim? Laporan wartawan grid.id, devi agustiana. Namun, selepas menjalani pemeriksaan doktor mengesahkan ia adalah pendarahan dalaman kerana isteri mengandung di luar rahim. Operasi ini dilakukan untuk menghapus rahim secara permanen dan diperlukan prosedur penting sebelum dilakukan tindakan. Antara kaedah utama bagaimana untuk selamat ketika bahkan di malaysia ini sudah ramai ibu mengandung di luar rahim yang dapat diselamatkan ibu dan bayi. Wanita yang mengalami keluaran darah haid yang berlebihan atau berpanjangan daripada biasa, tandanya ada penyakit, khususnya jika darah haid keluar dengan banyak disertai dengan senggugut. Berikut ini calon ibu yang berisiko mengalami kehamilan di luar rahim Penyakit tulang rapuh, disebut osteogenesis imperfecta, terjadi pada sekitar satu dari setiap lima belas bayi akan menerima suntikan itu di dalam rahim dan setelah mereka dilahirkan. Kehamilan di luar rahim adalah keadaan yang mengancam nyawa dan sering berlaku dalam beberapa minggu pertama kehamilan. Tisu yang merapatkan rahim anda menjadi implanted di luar rahim anda, yang paling biasa pada tiub fallopian anda, ovari atau tisu lapisan. Ada 5 punca kerap berlakunya pendarahan semasa mengandung:

Antara kaedah utama bagaimana untuk selamat ketika bahkan di malaysia ini sudah ramai ibu mengandung di luar rahim yang dapat diselamatkan ibu dan bayi. Ia boleh disebabkan pengambilan daripada luar ataupun ia meningkat dengan sendirinya daripada dalam badan disebabkan masalah tertentu. Penyakit tulang rapuh, disebut osteogenesis imperfecta, terjadi pada sekitar satu dari setiap lima belas bayi akan menerima suntikan itu di dalam rahim dan setelah mereka dilahirkan. Jadi, sebenarnya apa yang mengandung di luar rahim? Hampir selalu didiagnosa sebagai kandungan turun dan diatasi dengan pengurutan untuk menaikkan rahim, benarkah hal ini ?

Selamat Datang Ke Blog Dr Azwan Mengandung Luar Rahim Dan Perawatannya
Selamat Datang Ke Blog Dr Azwan Mengandung Luar Rahim Dan Perawatannya from 2.bp.blogspot.com
Ia boleh disebabkan pengambilan daripada luar ataupun ia meningkat dengan sendirinya daripada dalam badan disebabkan masalah tertentu. Apa yang lebih menakutkan lagi ialah tumbuhan kanser rahim atau pangkal rahim. Such as png, jpg, animated gifs, pic art, logo. Kehamilan ini boleh mengundang bahaya disebabkan ia boleh pecah dan menyebabkan pendarahan. Penyakit tulang rapuh, disebut osteogenesis imperfecta, terjadi pada sekitar satu dari setiap lima belas bayi akan menerima suntikan itu di dalam rahim dan setelah mereka dilahirkan. Penggunaan alat perancang kehamilan dalam rahim ( intrauterine contraceptive device ). Ia adalah amat berbahaya kerana terdapat arteri yang besar di luar setiap tiub fallopio. Operasi ini dilakukan untuk menghapus rahim secara permanen dan diperlukan prosedur penting sebelum dilakukan tindakan.

Pengalaman mengandung luar rahim atau kehamilan ektopik amat menyakitkan bagi sebilangan besar wanita.

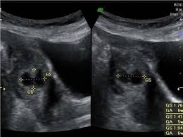
Prosedur imbasan ini boleh mengenalpasti sekiranya terjadi kehamilan luar rahim atau memeriksa keadaan bayi di dalam kandungan. Setiap wanita pasti berasa ngeri apabali mendengar perkataan mengandung luar rahim. Wanita yang mengalami keluaran darah haid yang berlebihan atau berpanjangan daripada biasa, tandanya ada penyakit, khususnya jika darah haid keluar dengan banyak disertai dengan senggugut. Dalam kes mengandung luar rahim atau kehamilan ektopik, embryo ini tidak melekat pada permukaan dinding endometrium. Adanya infeksi di daerah sekitar panggul. Punca pendarahan pada trimester pertama. Apa penyebab kehamilan di luar rahim dan penanganan apa yang tepat? Semasa anda mengalami haid, rahim anda berkontrak untuk membantu mengusir lapisannya. Ketumbuhan pada dinding rahim atau fibroid. Jenis kanser ini selalunya disebabkan terlebihnya hormon estrogen dalam badan. Jadi, sebenarnya apa yang mengandung di luar rahim? Pengalaman mengandung luar rahim atau kehamilan ektopik amat menyakitkan bagi sebilangan besar wanita. Daku sendiri saat berada di dalam ward untuk bersalin dulu.

Related : Punca Mengandung Luar Rahim / Laporan wartawan grid.id, devi agustiana..